(also called acute myelogenous leukemia and acute nonlymphocytic leukemia)
Acute myeloid leukemia (AML) is a cancer of the blood and bone marrow.
In leukemia, cancer cells grow fast in the bone marrow. When this happens, healthy blood cells cannot do their jobs correctly. The cancer cells are immature white blood cells called blasts.
AML affects blood cells called myeloid stem cells. A myeloid stem cell becomes one of 3 types of mature blood cells:
AML is the second most common childhood leukemia after acute lymphoblastic leukemia (ALL).
About 500 children are found to have AML in the United States each year. Pediatric AML is most common in infants and toddlers under age 2 and in teens.
Treatment may include chemotherapy and stem cell transplant (bone marrow transplant).
The overall survival rate for AML in children is about 70% in the U.S. But every case is different. Your care provider can give you more information about your child’s case.
Learn more about leukemia and lymphoma causes, treatment, and side effects.
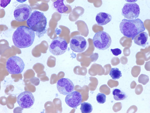
This image shows how normal, healthy bone marrow appears through a microscope.
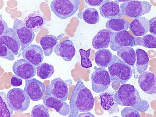
This image shows how the bone marrow of a child with acute myeloid leukemia looks under the microscope.
Signs and symptoms of AML may include:
Risk factors for AML in children include:
People with certain inherited disorders may develop AML:
The doctor will check general signs of health during a physical exam and health history. They will:
Tests to diagnose AML in children also include:
If cancer is found, doctors will do more tests to find out the cancer subtype. These tests look for tumor markers, changes in chromosomes, and certain genes and proteins.
AML has several subtypes. Knowing the subtype allows doctors to classify AML cases into low-risk or high-risk. This helps them select the best treatment.
Treatment based on risk category is called risk-adapted therapy. It has led to increased cancer survival rates.
Patients with high-risk forms of cancer may get the most aggressive therapy. Patients with low-risk cases may get lower-intensity treatment with fewer side effects.
To learn more about AML subtypes, ask your child’s doctor.
Treatment depends on the type of AML. Three forms of AML are treated differently than other forms of AML. These types are:
Chemotherapy is the most common AML treatment. Stem cell transplant (also called bone marrow transplant or hematopoietic cell transplant) may also be an option.
Research using the body’s own immune cells may open the door for promising new treatments for AML.
Doctors gather details to inform treatment.
Patients get a tunneled central line or another central venous access device. The central line is used to take blood samples and deliver chemotherapy and fluids.
Induction therapy usually includes antibiotics plus a combination of drugs such as cytarabine and daunorubicin. Etoposide or gemtuzumab ozogamicin may also be given during induction therapy.
The goal of this phase is to destroy leukemia cells in the blood and bone marrow and bring the disease into remission.
AML patients have a high risk of infection. So your child will get antibiotics.
Central nervous system (CNS) therapy (also called CNS prophylaxis) is also given during this time. It kills leukemia cells that remain in the brain and spinal cord. This prevents the spread of leukemia cells to those sites. Medicines are injected into the fluid-filled space between layers of tissue that cover the brain and spinal cord (intrathecal).
Doctors will likely look at how well induction chemotherapy worked to decide if a stem cell transplant (bone marrow transplant) is needed. Patients and families may undergo a process to find possible donors in case the patient needs a transplant.
Most pediatric centers use highly sensitive tests to measure for minimal residual disease (MRD). Positive MRD means a greater risk of relapse and need for more intensive therapy.
The consolidation phase starts after the patient is in remission. The goal of this phase is to destroy any leukemia cells that remain.
It includes 2–4 cycles of chemotherapy. It lasts 4–6 months.
The goal of this phase is to kill any remaining leukemia cells that could grow and cause the cancer to come back (relapse). Cancer centers can perform tests that can detect a single AML cell among 1,000 normal cells. Children with more than 1 AML cell in 1,000 bone marrow cells after completing the induction phase are at a higher risk of relapse compared to patients with no detectable leukemia cells in their bone marrow.
Some patients may get stem cell transplants at this stage.
Doctors may suggest a transplant for a child who is at high risk for relapse or whose AML resists treatment. Doctors sometimes look at how well induction chemotherapy worked to decide whether a bone marrow transplant is needed.
A transplant patient will be in the hospital for several weeks. It will likely be a year before the patient can return to school.
The patient returns for follow-up visits once every few months.
These visits may include:
Follow-up visits will occur less often.
Follow-up visits may change to once a year.
The 5-year survival rate for childhood AML is about 70% in the U.S.
About 90% of children with AML have no cancer cells in their blood after initial treatment. About 30% of children have cancer that comes back (relapse) or have disease that resists treatment (refractory).
Some AML patients may have late effects. These are health problems that occur months or years after treatment has ended.
Cancer patients should continue to see their treatment center care team and/or a local primary care provider after cancer treatment. Late effects can often be treated. Sometimes they can be prevented.
Different treatments may have different late effects. Not all patients will have late effects. Patients who had the exact same treatment may have different late effects.
AML patients may be at risk for:
Patients who have stem cell transplants may be at risk for certain late effects.
—
Reviewed: August 2023
Leukemia is a cancer of the blood and bone marrow. It is the most common cancer in children and adolescents.
Managing symptoms and side effects are important to your child’s recovery and well-being. Learn more about symptoms and treatment side effects.
A low ANC (neutropenia) refers to having low levels of neutrophils in the blood. Learn how neutropenia or low “counts” increases the risk of infection.