Skip to Main Content

Diffuse Intrinsic Pontine Glioma (DIPG)

Other names for DIPG include diffuse midline glioma, H3 K27M-mutant, brainstem glioma, pontine glioma, diffuse (infiltrating) astrocytoma of the pons, glioblastoma of the pons

What is DIPG?

Diffuse intrinsic pontine glioma, or DIPG, is an aggressive brain tumor. It forms in the base of the brain. DIPG begins in the brainstem. The area is called the pons.

The pons controls vital life functions including:

  • Balance
  • Breathing
  • Bladder control
  • Heart rate
  • Blood pressure

Nerves that control vision, hearing, speech, swallowing, and movement also pass through this part of the brain.

About 200–300 new cases of DIPG are diagnosed every year in the United States. DIPG most often occurs in children ages 5–10 years old. But it can occur in younger children and teens. DIPG is rare in adults.

DIPG grows from glial cells. These cells make up the supportive tissue of the brain. DIPG is a diffuse tumor. This means it is not well-defined or contained. The tumor extends finger-like projections into healthy tissue.

Because of the location in the brainstem and spread-out nature of the tumor, surgery cannot safely remove DIPG.

DIPG is very hard to treat. Most children do not survive more than 2 years after diagnosis. The main treatment for DIPG is radiation therapy. Radiation temporarily improves symptoms in most patients, but it is not a cure. Families may consider clinical trials that test new treatments to see if outcomes can be improved.

Early palliative care is important. It can help families manage symptoms and promote quality of life.

Symptoms of DIPG

DIPG tumors grow quickly. Symptoms usually develop in a short period of time (often about 1 month before diagnosis). There is a rapid onset and fast progression. Signs and symptoms of DIPG may include:

  • Loss of balance or problems walking
  • Eye problems such as blurred vision, double vision, drooping eyelids, uncontrolled eye movements, not being able to fully close the eye, eyes don’t look the same direction together or appear crossed (strabismus)
  • Facial weakness or drooping, usually on 1 side
  • Drooling or problems swallowing
  • Weakness in the legs and arms, usually on 1 side
  • Irregular or jerking movements
  • Abnormal reflexes
  • In very young children, a failure to thrive

Less common symptoms may include:

  • Nausea and vomiting
  • Headache, especially in the morning and often better after vomiting
  • Behavioral changes, school problems, irritability, or night laughter

Diagnosis of DIPG

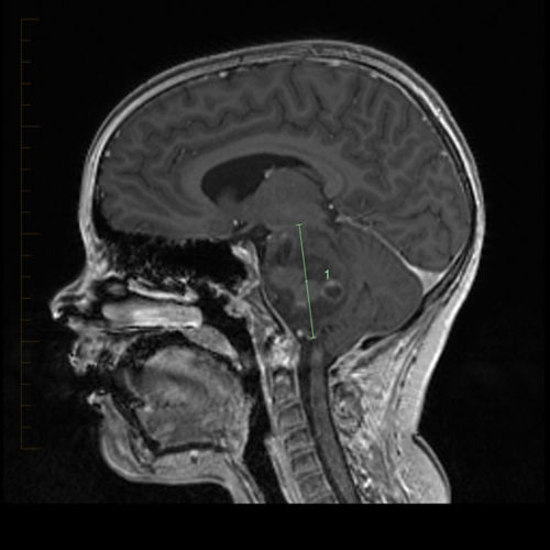
An MRI can be used to diagnose diffuse intrinsic pontine glioma.

An MRI can be used to diagnose diffuse intrinsic pontine glioma.

Doctors test for DIPG with tests that include:
  • A physical exam and medical history help doctors learn about:
    • The type and time course of symptoms
    • General health
    • Past illness
    • Risk factors
  • A neurological exam measures different aspects of brain function. These include memory, vision, hearing, muscle strength, balance, coordination, and reflexes.
  • Imaging tests help identify the tumor, see how big the tumor is, and find out what brain areas may be affected. Magnetic resonance imaging (MRI) is the main imaging test used to diagnose DIPG.

Doctors look for key features of the tumor on the MRI to diagnose DIPG:

  • The tumor is in the pons.
  • It usually involves and expands most of the pons (intrinsic).
  • The tumor does not have well-defined borders. It moves into healthy tissue (diffuse).

About 10–20% of pediatric brain tumors are found in the brainstem. When a tumor develops in the brainstem, it is usually DIPG. But about 20% of brainstem tumors are low-grade astrocytomas. These are not considered DIPG.

Role of biopsy in DIPG diagnosis

Doctors sometimes use a biopsy to diagnose DIPG. In the past, a biopsy was not usually used. Reasons for not doing a biopsy include:

  • DIPG often has specific features on both MRI and clinical evaluation. This means it can be diagnosed without any more tests.
  • There is risk of harm by doing a biopsy. This is because of the tumor’s location.
  • A biopsy may not change treatment plans or outcomes.

With better surgical techniques and advances in understanding, biopsy has become more common for DIPG. After a biopsy, a pathologist will look at the tissue sample under a microscope to identify the specific type and grade of tumor.

The tumor will also be tested for genetic changes or markers. Understanding tumor histology and molecular features may one day offer better treatments for DIPG. These could include targeted therapy and immunotherapy.

No one knows the cause of DIPG. But scientists are learning more about gene changes linked to these tumors. Having certain genetic disorders, including neurofibromatosis type 1 (NF1), may increase the risk of a brainstem glioma.

Staging and grading of DIPG

There is no standard staging system for DIPG. Treatment is based on 2 main factors:

  1. Whether DIPG is found only in the brainstem or if it has spread to distant areas in the brain or spinal cord (metastatic disease)
  2. Whether DIPG is newly diagnosed or has come back after treatment (recurrent disease)

Gliomas are grouped by how they look under the microscope. The more abnormal the cells look, the higher the grade. Grade 1 and 2 tumors are low-grade gliomas. The cells look more like normal cells and grow more slowly.

Grade 3 and 4 tumors are high-grade gliomas. They are aggressive and grow quickly. These tumors can spread throughout the brain.

DIPG tumors are usually high grade. Rarely, DIPG may appear as a low-grade tumor (grade 2).

Treatment of DIPG

DIPG is quite aggressive. No cure is known at this time. The standard of care is based on radiation therapy.

Much of DIPG patient care focuses on controlling symptoms and supporting quality of life. Corticosteroid medicines such as dexamethasone can help reduce some of the tumor’s symptoms. These medicines are usually used at diagnosis and at tumor progression to help manage neurologic symptoms.

A number of clinical trials are exploring therapies that may improve outcomes for patients with DIPG.

Many patients with DIPG get care through a clinical trial. Clinical trials are available:

  • At the time of diagnosis
  • After completion of radiation therapy but before the disease progresses
  • After tumor progression

Many times, the tumor may shrink for a while after initial radiation therapy. Symptoms improve, and patients can go home to their usual activities. This is sometimes called the “honeymoon period.”

This phase is hard to predict. Some children are almost back to normal during this time. Some children do not improve at all. Families may use the time to be together or do something special as a family. Wish-granting organizations can often help with this.

Prognosis for DIPG

DIPG has no cure at this time.

Fewer than 10% of children in the United States survive more than 2 years after diagnosis. A somewhat better outcome may be seen in very young patients (3 years old or younger) and those who have symptoms for a longer time before diagnosis.

Patients with neurofibromatosis type 1 (NF1) who have diffuse brainstem tumors may also live longer with the disease.

Long-term survival in DIPG is generally linked to atypical features or misdiagnosis (the tumor was not actually DIPG).

Support for children with DIPG

In DIPG, symptoms get worse over time. Supportive care helps maintain quality of life as much as possible for as long as possible. 

Talk to your care team about problems to expect and ways to help manage them.

Common symptoms of late stage DIPG

Symptoms can worsen rapidly when DIPG comes back. But symptoms and their course and severity can vary.

Some signs and symptoms of late-stage DIPG include:

  • Loss of balance and motor control. This often leads to inability to walk and the need for a wheelchair.
  • Weakness and paralysis that gets worse, often on 1 side of the body
  • Problems swallowing. This may lead to aspiration pneumonia, not being able to eat normally, and requiring a feeding tube
  • Weight gain and face swelling or puffiness because of corticosteroid medicines such as dexamethasone
  • Problems speaking or communicating
  • Anxiety, irritability, or agitation
  • Depression and feelings of sadness
  • Fatigue or drowsiness
  • Sleep problems
  • Changes in vision
  • Headache
  • Nausea and vomiting
  • Constipation
  • Decrease in urine, urinary retention
  • Problems breathing
  • Problems with heart rate and blood pressure
  • Seizures
  • Confusion, delirium
  • Loss of consciousness

Medicines can help control pain, nausea and vomiting, anxiety and depression, and medical problems that develop as the tumor grows.

Art therapy, music therapy, and other complementary therapies can also help patients and families manage symptoms.

Weight gain and face swelling with DIPG

This is usually not due to the tumor itself. Weight gain, face swelling, and puffiness are mainly due to high doses of corticosteroids given to help manage symptoms of DIPG.

Brain tumors can cause fluid and pressure to build up. This pressure (hydrocephalus) causes symptoms such as headaches, nausea, weakness, and problems walking. Steroid medicines like dexamethasone decrease brain swelling and pressure. But they also have side effects, especially when given in high doses or for a long time.

Corticosteroids can increase appetite and cause patients to eat more and gain weight. These medicines can make it hard for the body to get rid of fluids, causing swelling. The body may also store fat differently. This can lead to puffy cheeks or “moon face.”

Rapid weight gain sometimes causes stretch marks on the skin. The change in appearance due to corticosteroids can be distressing to patients and families. Other side effects of steroid treatment include mood swings, irritability, and muscle weakness.

Despite the side effects, these medicines are an important part of supportive care and quality of life for many brain tumor patients. Talk to your care team about side effects and goals of care.

Read more about steroids from the American Brain Tumor Association.

Working with the care team

With the poor prognosis of DIPG, it is important for families to talk with their care teams about goals of therapy, palliative care, and end of life care. These conversations should begin early in the care process.

Goals of care change over the course of the disease with the changing needs of the patient and family.

A team of health care providers can help meet specific patient needs as DIPG progresses.

Palliative care or quality of life services help patients and families:

  • Manage pain and other symptoms
  • Promote quality of life
  • Make difficult decisions including treatment choices and end of life care 

Hospice care provides medical and practical support as patients near the end of life. Rehabilitation services provide care for movement, speech, hearing, or swallowing problems. Child life, social work, spiritual care, and psychology can help with emotional and practical needs through the cancer journey for the entire family.

Questions to ask your child’s care team

  • What are our treatment options?
  • What can we expect as my child’s illness progresses?
  • What are the possible side effects of each treatment?
  • What can be done to manage side effects?
  • Will my child need to be in the hospital for treatment?
  • What options should we consider to promote quality of life for my child?
  • Where is the treatment available? Is it close to home or will we have to travel?

Key points about DIPG

  • DIPG is an aggressive brain tumor.
  • DIPG forms in the pons.
  • DIPG is hard to treat. Radiation therapy is one of the most common treatments.
  • Most children do not survive more than 2 years after diagnosis of DIPG.
  • DIPG symptoms can progress quickly. They can include loss of balance and motor skills, headaches, weight gain, and difficulty swallowing.
  • Early talks about palliative care can help families and care teams decide on treatment goals.

More information on DIPG

Resources to support children during serious illness


Reviewed: May 2023

Related Content