Skip to Main Content

Hodgkin Lymphoma

(Also known as Hodgkin’s lymphoma or Hodgkin’s disease)

What is Hodgkin lymphoma?

Hodgkin lymphoma is a cancer of the lymphatic system, or lymph system. The lymph system is part of the immune system.

The tissues and organs of the lymph system produce white blood cells called lymphocytes. These cells fight infection and disease.

The lymph system includes:

  • Lymph nodes
  • Lymph vessels
  • Tonsils
  • Thymus
  • Spleen
  • Bone marrow

Hodgkin lymphoma is the most common cancer in teens ages 15–19 in the United States. It has a 95% survival rate in the U.S.

The most common symptom of Hodgkin lymphoma is swollen lymph nodes. The main treatment for this cancer is chemotherapy.

Hodgkin lymphoma is also called Hodgkin’s lymphoma. In the past, it was known as Hodgkin’s disease.

Lymphoma is a cancer of the lymphatic system. Watch this video to learn about lymphoma symptoms, diagnosis, and treatment in children.

Risk factors for Hodgkin lymphoma

Risk factors for Hodgkin lymphoma include:
  • Age: Hodgkin lymphoma is the most common cancer in teens ages 15–19.
  • Viral infections: Epstein-Barr virus (EBV) has been linked to Hodgkin lymphoma. It is the virus that causes mononucleosis (mono). Many people get EBV. But few develop Hodgkin lymphoma.
  • Weak immune system: A person with a weak immune system can be at higher risk.
  • Family history: Having a brother, sister, or parent with Hodgkin lymphoma slightly raises the risk of Hodgkin lymphoma. But it does not make it harder to treat.

Symptoms of Hodgkin lymphoma

The most common symptom of Hodgkin lymphoma is swelling in the lymph nodes. This may occur in the neck, chest, armpit, or groin. It is not painful.

Other common symptoms include:

  • Losing more than 10% of body weight over 6 months for no other reason
  • Drenching night sweats (so severe that bed sheets or pajamas may need to be changed)
  • Fevers over 100.4˚F (38˚C) for 3 or more days in a row that have no known cause
  • Unexplained cough or shortness of breath

Diagnosis of Hodgkin lymphoma

Diagnosis of Hodgkin lymphoma may include:

A biopsy of lymph node tissue is required to make a diagnosis of Hodgkin lymphoma.

Research spotlight

Scientists may have found why Hodgkin lymphoma is sometimes passed down in some families.

Read the blog post

Physical exam and health history

During the physical exam, the doctor will check general signs of health and feel for lumps or lymph nodes that seem unusual. The doctor may feel the patient’s belly to check for an enlarged spleen or liver. The doctor will also ask about past health issues.

Blood tests

Blood tests may include a complete blood count (CBC) and blood chemistry study.

Most blood work is normal in Hodgkin lymphoma. But sometimes patients have an elevated ESR (erythrocyte sedimentation rate) or CRP (C-reactive protein) level. Some may have low levels of albumin at diagnosis.

X-ray and other imaging tests

About 2 out of 3 Hodgkin lymphoma patients develop a mass in the chest. This can often be seen on an x-ray.

Biopsy

A surgeon will perform a biopsy to remove tissue from an enlarged lymph node. Pathologists look at the tissue under a microscope.

Analysis of biopsy tissue

The pathologist will look at the tissue to check for cancer cells.

If there are abnormal cells, the pathologist will do more tests to look for specific markers. This process can take a few days.

Doctors will do more tests to find out the stage of the disease. The stage tells where the cancer is in the body.

Staging in Hodgkin lymphoma is different than in other cancers because lymph nodes throughout the body are connected. Cancer may appear in many places. But it does not make it harder to treat or riskier as it does in other types of cancer. Staging in Hodgkin lymphoma depends on:

  • The number of affected lymph node regions
  • The presence of “B” symptoms (see description below)
  • The tumor size
  • If lymphoma has spread outside the lymph system
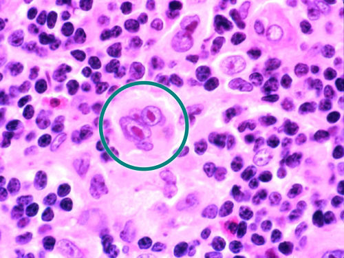
Reed-Sternberg cells, which have the appearance of owl eyes, shown in a teal circle.

Reed-Sternberg cells are distinctive because they have two nuclei, which some say have the appearance of “owl eyes.” The presence of Reed-Sternberg cell classifies the lymphoma as Hodgkin lymphoma.

Basics of Blood

Learn more about leukemia and lymphoma causes, treatment, and side effects.

Explore the Basics of Blood

Stage Where cancer is found
Stage 1 In 1 or more lymph nodes in 1 lymph node group
Stage 2 In 2 or more lymph node groups, either above OR below the diaphragm
Stage 3 In lymph node groups above AND below the diaphragm
Stage 4 In areas of the body that are not part of the lymph system, such as the liver, lungs, or bone marrow

A, B, E, and S designations

Doctors look at A, B, E or S designations as well as the stage for every patient.

A means the patient has no “B” symptoms.

B is added if the patient has at least 1 of these symptoms:

  • Drenching night sweats
  • Unexplained fevers above 100.4˚F (38˚C) for 3 days in a row
  • More than 10% loss of body weight during the past 6 months for no other reason

E means the cancer has an “extension” from the lymph node group to a part of the body outside the lymph system.

S means cancer is found in the spleen.

Imaging tests

Imaging tests for staging at the time of diagnosis may include:

Bone marrow aspiration and biopsy

A bone marrow aspiration and biopsy may show whether cancer is in the bone marrow. Sometimes imaging tests alone can show this.

Subtypes of Hodgkin lymphoma

Hodgkin lymphoma has 2 major subtypes: classical Hodgkin lymphoma and nodular lymphocyte predominant Hodgkin lymphoma.

Knowing the type of Hodgkin lymphoma helps doctors choose the best treatment.

Classical Hodgkin lymphoma

Classical Hodgkin lymphoma is the most common. There are 4 kinds of classical Hodgkin lymphoma. All are positive for the tumor marker CD30. The types of classical Hodgkin lymphoma are:

  • Lymphocyte-rich
  • Nodular sclerosis
  • Mixed cellularity
  • Lymphocyte-depleted

All kinds of classical Hodgkin lymphomas are treated the same.

Nodular lymphocyte-predominant Hodgkin lymphoma

Nodular lymphocyte-predominant Hodgkin lymphoma is positive for the tumor marker CD20 and negative for CD30.

Nodular lymphocyte-predominant Hodgkin lymphoma is not a classical form of Hodgkin lymphoma. It grows more slowly and has a different treatment approach.

Treatment of Hodgkin lymphoma

The main treatment for Hodgkin lymphoma is chemotherapy. The goal is to use the least amount of treatment possible for cure. Using less treatment helps to prevent long-term and late effects of treatment.

Cancer centers use several medicine combinations to treat children. Different drugs treat cancer by fighting it in different ways. This approach uses less of each drug.

In the U.S., common chemotherapy combinations for childhood Hodgkin disease include:

In Europe, common chemotherapy combinations include:

  • OEPA: Vincristine, etoposide, prednisone, and doxorubicin
  • COPDAC: Cyclophosphamide, vincristine, prednisone, and dacarbazine

Cancer centers may add new drugs or take away drugs to find the most effective therapies.

Radiation therapy

Some patients may also have radiation therapy. In the past, every patient had radiation therapy after finishing chemotherapy. It works very well. But radiation can cause a second cancer to develop later. Today, doctors decide whether to use radiation based on how the cancer responds to chemotherapy.

Risk-adapted treatment

Risk groups are used to plan treatment. Doctors assign risk groups based on the signs, symptoms, and stage of the cancer. All risk groups have the same outcomes if they receive treatment based on risk groups.

Risk groups:

  • Low: 2 cycles of chemotherapy
  • Intermediate: 3–4 cycles of chemotherapy
  • High: 6 cycles of chemotherapy

After 2 cycles of therapy, patients have imaging tests repeated. A PET scan checks to see how the cancer responded to treatment. 

Patients whose cancer responded well may not need radiation.

Patients whose cancer did not respond well during chemotherapy may get radiation.

Other treatments

In some cases, patients may receive other, additional treatments.

Targeted therapy and immunotherapy

Targeted therapy is used in some cases of Hodgkin lymphoma. Brentuximab vedotin and rituximab are examples. Several others are under study. Brentuximab vedotin targets the CD30 marker. Rituximab targets CD20.

Targeted immunotherapy

Pembrolizumab or nivolumab is sometimes a part of treatment for relapsed or refractory Hodgkin lymphoma. It blocks a signaling pathway that can allow cancer cells to hide from the immune system. If the pathway is blocked, the immune system can destroy cancer cells.

Stem cell transplant

Patients whose Hodgkin lymphoma does not respond to treatment or returns after treatment may need a stem cell transplant. This is sometimes called bone marrow transplant or hematopoietic cell transplant.

Surgery

Surgery is not a treatment for Hodgkin lymphoma. It may be used to treat nodular lymphocyte-predominant Hodgkin lymphoma if all cancerous lymph nodes can be safely removed.

Hodgkin lymphoma treatment usually takes 2–6 months. 

Long-term side effects of Hodgkin lymphoma treatment

Long-term and late effects may occur after treatment is over. Late effects are side effects of treatment that appear months or years later.

Possible late effects depend on the treatment used. Hodgkin lymphoma survivors may be more at risk for heart problems or a second cancer. But these problems are rare.

Some chemotherapy drugs and radiation treatments may cause cancer later in life. But this risk has decreased over the years. Doctors have learned how to adjust treatments to lessen the chance of second cancers. These advances include lower doses of chemotherapy and radiation. In some cases, radiation is no longer used.

Hodgkin lymphoma survivors may need certain health screenings earlier or more often than other adults. This is so problems can be caught earlier when they are more treatable.

It is important to lead a healthy lifestyle. Some problems may be prevented or lessened by a healthy diet, regular physical activity, and good sleep habits.

Each Hodgkin lymphoma survivor should get a survivorship care plan from the treatment center. This plan includes details about their disease, treatment, and future health care needs.

Questions to ask about Hodgkin lymphoma

  • What are the treatment options?
  • What are the possible side effects of each treatment?
  • What can be done to manage side effects?
  • Will my child need to be in the hospital for treatment?
  • Where is the treatment available? Is it close to home or will we have to travel?
  • Will the treatment affect my child’s ability to have children in the future? What are fertility preservation options?

Key points about Hodgkin lymphoma

  • Hodgkin lymphoma is a cancer of the lymph system. The lymph system is part of the immune system.
  • Hodgkin lymphoma is the most common cancer in teens ages 15–19 in the U.S.
  • The most common symptom of Hodgkin lymphoma is swollen lymph nodes.
  • The main treatment for Hodgkin lymphoma is chemotherapy.
  • Hodgkin lymphoma has a 95% survival rate in the U.S.


The Together by St. Jude online resource does not endorse any branded product or organization mentioned in this article.


Reviewed: August 2024

Related Content