Skip to Main Content

Understanding Cancer

Cancer is a disease where cells grow in an unhealthy way.

In the body, chemical signals control how cells grow and divide. When cells become damaged or old, they die. Healthy cells take their place.

In cancer, the chemical signals do not work properly. Cancer cells grow and multiply when they should stop. Cancer cells can push out healthy cells and make it hard for the body to function as it should.

Microscope image that shows normal bone marrow

This microscope image shows normal, healthy bone marrow.

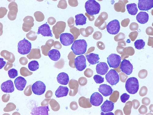
Microscope image shows bone marrow of a patient with acute lymphoblastic leukemia

This microscope image shows the bone marrow of a patient with a type of cancer called acute lymphoblastic leukemia.

How healthy cells become cancer cells

Every cell gets information from genes. Cancer begins with a change within the genes of a single cell. These changes are called mutations.

Most mutations are harmless. But sometimes these mutations change the control of cell growth.

Lifestyle and environmental factors do not cause pediatric cancers as they do with some adult cancers. Childhood cancers result from gene mutations that happen by chance.

Mutations usually happen as mistakes when cells divide.

Viruses cause some mutations. These viruses include human papillomavirus (HPV) and the hepatitis B and C viruses.

Children sometimes inherit gene mutations from their parents.

Learn about genetic testing for cancer or other diseases.

How cancer is named

Cancer is named for the type of cell or tissue where it starts. For example, astrocytoma starts in cells called astrocytes. And neuroblastoma grows from immature nerve cells called neuroblasts.

More than 100 types of cancers happen in children. The specific type of cancer is determined by how the cells look under the microscope and the molecular and genetic features of the cells.

How cancer grows and moves

Many cancers form masses or clumps of cells. These clumps make up a solid tumor. Other cancers, such as leukemia, travel in the blood and do not form masses.

As solid tumors grow, some cells may travel to other parts of the body. This is called metastasis.

Cancer may also spread to nearby tissue.

The place where cancer starts is called the primary tumor. Metastatic cancer is named after the original tumor. For example, osteosarcoma that starts in bone and spreads to the lung is called metastatic osteosarcoma, not lung cancer.

Cancer cells often have features that help them to grow. They may divide more quickly than normal cells or simply not stop dividing when they are supposed to. Some cancer cells continue to develop new gene mutations that can cause them to multiply faster.

As cancer cells grow and move into healthy tissue, tumors can press on blood vessels, nerves, and body parts. The cancer cells can crowd healthy cells. This may prevent the body from working as it should.

How childhood cancer is treated

The main treatments for childhood cancer include: 

  • Surgery to remove some or all of the tumor
  • Chemotherapy, which uses powerful medicines to kill cancer cells or stop them from growing
  • Radiation therapy to shrink tumors and kill cancer cells
  • Immunotherapy, which uses the immune system to fight cancer
  • Targeted therapy, which uses drugs that target certain features of cancer cells

The type and combination of treatments used for cancer depends on many factors. These include:

  • The cancer type
  • Where the tumor is
  • Whether the cancer is new or has come back
  • The cancer's stage 
  • The child's age

Cancer treatments and continuing research

For many types of childhood cancer, better treatments have increased survival rates. Over 80% of children with cancer survive 5 years or more in the United States. But for certain types of cancers, the chance of survival remains poor.

Scientists continue to learn more about genetic causes and specific features of cancer cells. These findings may lead to improvements in diagnosis and treatment.

Learn more about the importance of cancer research.

Questions to ask your care team

  • What are our treatment options?
  • What are the possible side effects of each treatment?
  • What can be done to manage side effects?
  • Will my child need to be in the hospital for treatment?
  • Where is the treatment available? Is it close to home or will we have to travel?

Key points about cancer

  • Childhood cancer is often caused by a gene change that affects the way cells grow and divide.
  • Cancer cells grow quickly and can spread from one body tissue to another. This is called metastasis.
  • Treatments for pediatric cancer include surgery, chemotherapy, radiation therapy, immunotherapy, and targeted therapy.
  • Scientists are studying gene changes in cancer. They are finding new ways to treat cancer. The findings will improve diagnosis and treatment.


Reviewed: June 2023

Related Content