Skip to Main Content

Voiding Cystourethrogram (VCUG)

What is a VCUG?

A VCUG (voiding cystourethrogram) produces images of the urinary tract. The test shows how the urinary tract is working.

Doctors request this test for patients who have repeated urinary tract infections or other related problems.

How does a VCUG work?

VCUG uses a technology called fluoroscopy. Fluoroscopy is sometimes described as a “live” x-ray. It shows how internal organs function inside the body.

A VCUG can show if your child has a condition called vesicoureteral (VU) reflux . This condition causes urine to flow in the wrong direction, from the bladder back up to the kidneys. A VCUG also shows abnormalities or blockages in the urethra.

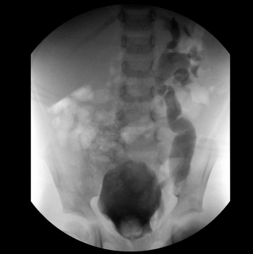
X-ray image shows beginning of VCUG test in a pediatric cancer patient. 
X-ray shows progression of VCUG test in a pediatric cancer patient.
X-ray shows additional progression of VCUG test in a pediatric cancer patient.
X-ray shows last in series of VCUG test in a pediatric cancer patient.

A VCUG can show if a patient has vesicoureteral (VU) reflex. It also shows are abnormalities or blockages in the urethra.

Who performs a VCUG?

A radiologist and a radiological technologist perform the test. Other staff members may help.

How long does a VCUG take?

The test usually takes about 30 minutes.

Is a VCUG safe?

A VCUG is a type of x-ray. This means it uses a small amount of ionizing radiation. The radiation helps to create images.

The amount of radiation given during a VCUG is very small. The medical benefits far outweigh the small amount of radiation exposure. If you have concerns or questions, talk with your child’s care team.

Graphic of an adult male body with layover of organs visible. Organs of the urinary tract are highlighted, including the kidney, ureter, bladder, and urethra.

A VCUG produces images of the urinary tract and shows how it is working.

What details should I take care of before my child’s VCUG?

Taking these steps before the test may make your experience easier.

  • You may need to consult with the insurance company to find out how much it will pay for the procedure.
  • Let your child’s care team know about:
    • Any medications the patient takes, including over-the-counter ones.
    • Allergies, especially to iodine. It is in the contrast liquid used during the VCUG.
    • If your child is or could be pregnant.

What should I do before my child’s VCUG?

Situations and centers differ, but these tips can help you get ready:

  • Be sure your child understands why he or she is having the test. Talk about what will happen during the test. A child life specialist can help prepare and support your child.
  • Be sure your child wears loose, comfortable clothing. It should be easy to take on and off. At most centers, the patient will remove clothing and wear a gown.
  • Allow plenty of time to get to the center. You’ll want to be on time. It may be better to be a few minutes early to give you plenty of timeto check-in.
  • You’ll stay in a waiting area until it is time for the test. Bring activities just in case you need them.

What happens during a VCUG?

Here’s what you and your child can expect at the testing center before and during a VCUG:

  • A radiology staff member will talk with you about why your child needs a VCUG and explain the procedure.
  • The technologist will help your child onto an X-ray table. Patients lie on their backs for this test. Infants and young children may have a special device to help them lie still during the imaging. Patients must stay still, or the image will blur.
  • The test requires a catheter, a thin, hollow tube that is placed inside the patient’s bladder.
    • A nurse or technologist will clean the area where the catheter will be placed. This antiseptic may feel cold.
    • A nurse, technologist, or doctor will place catheter inside the patient’s bladder through the urethra. The patient will feel some pressure. They may feel the need to go to the bathroom.
    • A nurse or technologist will tape the catheter in place. This stops it from coming out during the exam.
  • The radiology staff member will connect the catheter to a bottle of X-ray contrast liquid. This contrast helps the team see the urinary tract, the bladder and urethra on the screen.
  • The technologist will pull the X-ray machine, also known as a “fluoro tower,” over the patient’s body. The contrast liquid will flow through the catheter into the patient’s bladder. The technologist will help the patient move from side to side to help get images from different angles.
  • The patient will need to hold in urine even if she feels the urge to go. When the bladder is full, the radiologist will ask the patient to urinate on the table. There will be towels, a urinal, bed pan, or absorbent pad to catch the liquid. While the patient urinates, the radiologist will take more X-rays.
  • The catheter will probably come out on its own when the patient urinates. After that, the radiologist will take a few more X-rays.

Is a VCUG test painful?

A VCUG test can be uncomfortable. The insertion of the catheter and filling of the bladder with liquid can cause discomfort.

A VCUG can seem embarrassing and unnatural for children and teens. This is because they are used to going to the bathroom in private. Remind your child that the staff is experienced at performing this test. It is a necessary medical procedure, so they don’t need to feel embarrassed.

You may be able to stay in the room with the patient. Also, you can ask for a child life specialist to be there during the test.

Will my child be uncomfortable after a VCUG test?

Your child may experience discomfort during urination after the procedure. This feeling usually gets better in less than 12 hours.

How will I find out the results?

The radiologist will interpret the results. Then, they’ll send them to the doctor who ordered the VCUG. Your child’s care team will review the results with you at the next appointment.


Reviewed: October 2021

Related Content